티스토리 뷰
목차
충치과 잇몸질환.. 어떤게 더 안좋을까요? 제 개인적 의견은 잇몸질환입니다.
제가 치과에서 환자분께 상담할 때도 강조하지만, 충치는 보존, 보철로 원래 모양을 복원할 수 있지만 잇몸은 다시 재상되거나 복원되지 않기 때문입니다.
즉 한번 나빠지 잇몸을 원래 상태로 돌리기는 불가하고 더 나빠지지 않게 치료하는 것 입니다. 이렇게 중요한 잇몸이 왜 나빠지는지 잇몸병 원인과 단계별 증상을 알려드리도록 하겠습니다.

➡️ 치과 쉐이드가이드로 누런이 점검↓ ↓
잇몸병의 원인
잇몸병은 과거에 '풍치(風齒)'라고 불렸습니다. 바람에도 흔들리는 치아라서 풍치라고도 하고, 바람이 들어와 치아 뿌리를 들어 올린다 하여 풍치라고도 합니다. 치아를 건드리기만 해도 뽑힐 것 같은 상태를 표현하는 것입니다.
치과에서는 이를 '치주 질환'이라고 합니다. 치주 질환은 크게 치은염과 치주염으로 나눌 수 있으며, 원인과 정도에 따라 치료법도 다르게 적용됩니다. 다양한 원인을 살펴보겠습니다.

치태 와 치은염
치태는 음식물과 세균이 합쳐진 상태입니다. 흐린 노란색의 부드러운 질감이며, 가장 큰 특징은 양치질로 충분히 제거할 수 있다는 점입니다.
치태로 인해 잇몸질환이 생겼다는 것은 양치질이 제대로 되지 않았다는 의미입니다. 아이들도 양치를 잘했다고 하지만, 치태가 눈에 보이는 경우가 많습니다.
관심을 가지고 관찰하면 치아에 얇게 붙어있는 치태를 쉽게 발견할 수 있습니다. 치태는 치주 질환의 초기 단계인 치은염을 유발합니다. 치은염은 양치질과 스케일링으로 쉽게 회복될 수 있습니다.
특히, 일 년에 한 번 건강보험이 적용되는 스케일링은 치은염 예방에 큰 도움이 됩니다.

호르몬 영향과 질환
치은염은 호르몬 변화로 인해 발생할 수 있습니다. 사춘기나 임신 시기에 여성 호르몬 분비가 증가하면서 잇몸이 붓고 출혈이 생길 수 있습니다. 특히 임신 중에는 식욕 변화로 인해 구강 건강이 악화될 수 있습니다.
임신 안정기에는 치과에 방문하여 스케일링을 받고, 출산 후에도 구강 위생을 철저히 관리하는 것이 중요합니다.
그리고 당뇨는 고혈당이 잇몸이 약하게 만들어서 치은염이 발생될 수 있으며, 잇몸에 염증이 생기면 혈관을 타고 심장에 부정적 영향을 미칠 수 있기 때문에 더욱 관리가 필요합니다.

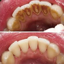
치석과 치주염
치태는 음식물 잔사입니다. 양치질로 음식물 잔사는 제거될 수 있지만 말처럼 쉽지 않습니다. 저희같이 치위생사들도 올바른 방법으로 잇솔질을 해도 미치 제거되지 않은 치태는 있기 마련입니다.
물론 치과의사들도 주기적인 스케일링이 필요하지요. 이러한 치태가 오랫동안 제거되지 않으면 칼슘화되어 치석이 됩니다.
치석은 단단하여 양치질로 제거되지 않기 때문에 치과에서 스케일링을 받아야 합니다. 치석은 치아와 잇몸 사이에 깊숙이 자리 잡아 치조골을 녹이는 원인이 됩니다.

잇몸병 단계별 증상
잇몸병은 서서히 진행되므로 조기에 발견하면 긍정적인 치료 결과를 얻을 수 있습니다. 치과 방문을 두려워하시는 분들도 많지만, 예방 치료는 질환 치료보다 부담 없이 받을 수 있습니다.
지금부터는 잇몸병의 단계별 잇몸병의 특징과 치료 방법을 설명드리겠습니다.
치은염 증상
치아 목 부분의 잇몸이 염증으로 붉어집니다. 치태가 눈에 보이고, 손톱으로 긁었을 때 노란 게 묻어납니다.
양치질할 때 출혈이 발생하고 사과같은 단단한 음식을 먹을 때 묻어 나오기도 합니다.
치료 방법: 올바른 양치질과 스케일링입니다. 치과 당일방문하여 치석제거를 함으로써 치료가 되는것이므로 마음 가볍게 가셔도 되십니다. 스케일링이 두렵다면 가글 마취액으로 살짝 둔감한 상태로 치석제거하면 더 편한게 받을 수 있습니다.

초기 치주염 증상
눈에 보이는 단단한 치석이 있습니다. 양치질할 때 출혈이 자주 발생합니다. 잇몸이 붉고 부어 있습니다.
손거울로 잇몸을 보면 치아와 치아 사이에 잇몸이 부어있는것을 확인할 수 있습니다.
잇몸이 간질간질한 느낌이 들기도 하는데 이럴때 양치질을 세게 오래하게 되면 치아 마모가 생겨 또 다른 치료를 해야합니다. 이럴때 치료 방법은 다음과 같습니다.
치료 방법: 치석 제거와 간단한 잇몸 후처치가 필요합니다. 여기서 잇몸 후처치는 치근활택술입니다. 스케일링은 기구로 치아와 잇몸 겉에 있는 치석을 제거하는 것입니다.
치근활택술은 잇몸 전용 기구로 잇몸 아래쪽에 있는 치석을 제거하는 것입니다.

중기 치주염 증상
치석이 크게 보입니다. 잇몸이 내려가 치아가 길어 보이고 식사할 때 피가 납니다.
치아 사이가 벌어지고 치아가 흔들립니다. 가끔 통증이 있습니다.
치료 방법: 스케일링 및 마취를 해서 좀 더 깊게 하는 잇몸 치료를 받아야 합니다. 모든 부위를 받는 것은 아니고 특히 안좋은 부위만 받게 됩니다.
복합 치주염 증상
잇몸 퇴축이 심하여 거울을 봐도 치아가 길어진게 느껴질 것 입니다. 그리고 치아가 많이 흔들리는 상태가 됩니다. 혹시 치아가 빠져있는 공간이 있다면 이 공간을 이용하여 치아들이 많이 벌어지기도 합니다.
가만히 있어도 통증이 있고 이정도가 되면 환자분들이 '치아를 빼야할 것 같아요'라고 오시더라구요.
안타깝지만 흔들림 정도가 심하다면 발치하는것이 치료의 한 방법이기도 합니다.
이때 잇몸을 열어서 안에 치석들을 다 제거하고 다시 부착하여서 치료를 시행한다고 해도 수명이 조금 연장될 뿐 잇몸이 다시 재생되거나 탄력이 생기거나 하지는 않습니다.
치료 방법: 스케일링, 치주 치료 및 잇몸 수술 또는 발치 잇몸병 예방법

상담실짱의 마무리 상담
잇몸병을 예방하기 위해서는 올바른 양치질과 정기적인 스케일링이 중요합니다.
치은염 단계에서 치료를 받으면 최소한의 진료로 회복될 수 있기 때문에 잇몸질환이 중증으로 진행되지 않도록 정기검진도 무척 중요합니다.
올바른 양치질 습관을 기르고, 정기적으로 치과를 방문하여 검진과 스케일링을 받으신다면, 분홍색의 건강하고 젊은 잇몸을 오랫동안 유지하실 수 있습니다.
스케일링과 구강검진 오늘부터 실천해보세요!



시린 치아 원인 3가지와 치료법 예방법 알고 가세요
시린 이의 원인 요즘 날씨가 더워서 찬 음식이나 찬물을 먹게되는 경우가 많습니다. 그럴때마다 치아가 시려서 얼굴에 인상을 쓰게 되지요.특히 40~50대가 넘으며 더욱 증상이 심해집니다. 간단
good.hepsibasoul.com
치아미백, 부작용 없고 효과 높이는 사전 검사가 필요해요
시원한 미소에 어울리는 하얀 치아는 누구나 원하는 이미지입니다. 다양한 경로로 치아 미백이 가능하게 되었지만, 사전 검사를 하지 않고 미백을 하게 되면 효과도 반감될 뿐 아니라 부작용에
good.hepsibasoul.com
'치과상식' 카테고리의 다른 글
| 턱관절 통증 치과 보톡스 효과, 비용 알아보기 (0) | 2024.08.15 |
|---|---|
| 치아미백, 부작용 없고 효과 높이는 사전 검사가 필요해요 (0) | 2024.07.29 |
| 치위생사가 알려주는 덴티아이 예약방법 (0) | 2024.04.25 |
| 칫솔 추천 특허칫솔 (0) | 2024.03.20 |
| 30년 경력 (0) | 2023.12.27 |